Besamung

 

Eierstock in der Brunst

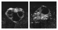
In der Brunst erreicht das Eibläschen (Follikel) in kurzer Zeit seine maximale Grösse. Sein Durchmesser erreicht 1.5 bis 2 cm Im Eibläschen befindet sich Flüssigkeit, die die Eizelle umgibt. Es ist gut möglich, dass der Gelbkörper (Corpus luteum) vom letzten Zyklus noch vorhanden ist. Er kann sich auf demselben Eierstock wie das Eibläschen oder auf dem anderen Eierstock befinden.
Ausnahmsweise können auch 2 Eibläschen gleichzeitig heranreifen. Auch dies kann auf demselben oder je auf einem Eierstock stattfinden. Daraus entstehen2-eiige Zwillinge. Eineiige Zwillinge gibt es, wenn sich die befruchtete Eizelle in einem frühen Entwicklungsstadium teilt.